细菌外膜囊泡纳米药物用于肿瘤免疫治疗及肿瘤转移预防
发布时间:2024-05-31 分享至:
浙江大学化学系汤谷平教授与浙江大学药学院平渊研究员在肿瘤免疫治疗中取得了新的进展。陈琪博士研究生、白宏震博士基于课题组先前研究工作(Nano Lett. 2015, 15, 2732−2739),利用减毒沙门氏菌外膜囊泡(OMVs)的免疫原性、纳米尺寸合理性等特点以及避免活细菌潜在的生物安全性等问题,进一步改性细菌疗法的缺陷,在OMVs上修饰聚乙二醇和靶向肽RGD,并将普朗尼克载药纳米胶束进行包裹,聚合物胶束中负载的药物替加氟(Tegafur),该载药系统能同时发挥化学治疗和免疫调节的作用,从而增敏毒性T淋巴细胞(CTL)对肿瘤细胞的杀伤作用,与功能化的OMVs协同综合提高治疗效果。动物实验证明全身注射该新型靶向型纳米药物不仅预防肿瘤的发生起到特异性免疫的作用,而且可以显著抑制体内肿瘤的生长并延长C57BL/6小鼠的存活率。重要的是,纳米药物可以有效抑制癌细胞向肺转移。该项工作的重要意义在于细菌外膜的策略可以改善药物递送系统,为OMVs用于肿瘤临床治疗试验及转化提供了十分有益的参考。
Scheme 1.OMV聚合物胶束的构建示意图及用于癌症的免疫预防、治疗和转移的机制

图1.功能化的OMV包裹聚合物胶束的表征

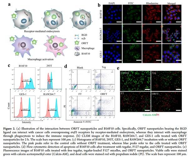
图2.细胞吞噬实验以及毒性评价实验

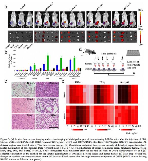
图3.体内成像及免疫效应评价

图4.体内预防效果评价以及抗肿瘤免疫应答评价

图5.肿瘤治疗和预防转移体内评价
